Conservativa
Cos’è la Terapia Conservativa
La terapia conservativa è quella che si occupa della pulizia della carie e della ricostruzione del dente con materiali compositi, che i pazienti chiamano comunemente otturazione. Fin dall’inizio, nel nostro studio abbiamo dato grande importanza a questo trattamento, puntando sempre ad ottenere un risultato eccellente sia dal punto di vista estetico, sia per la sua durata nel tempo.
Spesso la conservativa viene sottovalutata, perché si pensa che tutti i dentisti riescano a eseguire un’otturazione a regola d’arte, essendo un trattamento di routine. In realtà non è così: purtroppo, a causa di costi troppo bassi, si è assistito a un generale abbassamento della qualità.
Un dente che riceve un’otturazione imprecisa – sia nella pulizia della carie, sia nella fase di ricostruzione – rischia di sviluppare in poco tempo una nuova carie, con la conseguenza di dover procedere a una
devitalizzazione. Un dente devitalizzato, però, è più fragile e soggetto a fratture. Questo porta spesso all’estrazione e quindi alla necessità di ricorrere a un
impianto con relativa corona protesica. Tutto ciò comporta costi molto più alti, sia dal punto di vista biologico che economico, rispetto a una cura eseguita bene fin da subito.
Alcuni casi dello Studio
Viene presentato un caso in cui si evidenzia la presenza di carie mesiale e distale su un 25 (secondo premolare superiore di destra) attraverso l'analisi radiografica. Si deve sottolineare la difficoltà di metterne in risalto e di determinarne l'estensione solo mediante la radiografia. Nella fotografia successiva, l'entità e l'estensione della carie appaiono notevolmente superiori a quanto potesse essere dedotto dalla sola radiografia. Si mostra poi la cavità ripulita dalla carie, evidenziando la perdita di tessuto dentale causata da essa. Infine, si presenta l'otturazione appena completata, con i segni della cartina da articolazione ancora visibili, utilizzata per verificare l'altezza della cura, che richiederà successivamente un ulteriore rifinitura e lucidatura.
Terapia Conservativa
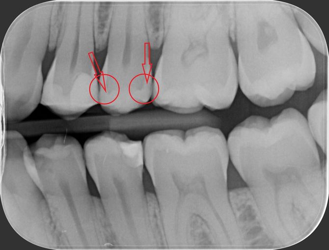
Un particolare utilizzo di due fasci laser e di un sensore che trasforma la transilluminazione in immagine visibile sul monitor del computer trova un utilizzo anche nella diagnosi della carie qualora l’immagine radiografica risulti dubbia o non dirimente di lesione cariosa. Ecco un esempio in cui radiologicamente si vede un’immagine non chiaramente rapportabile ad una carie come indicato dalle frecce nella radiografia a fianco. Con l’ausilio del laser si riesce ad evidenziarne completamente i limiti e la grandezza come visibile dalle due immagini e dalle frecce che indicano la carie. Tuttavia, per correttezza, va spiegato che l’efficacia di questa indagine può essere effettuata solo in determinate circostanze cliniche e che le radiografie risultano sempre necessarie.
Perché scegliere la Conservativa allo Studio Casadei
L’obiettivo non è soltanto rimuovere la carie, ma anche prevenire eventuali recidive e garantire nel tempo la salute e l’integrità del dente naturale. Un approccio che mette al centro il benessere del paziente e la durata dei risultati.
Affidarsi ai trattamenti di odontoiatria conservativa a Cesena presso lo Studio Casadei significa scegliere cure sicure e basate su protocolli scientificamente validati, con l’utilizzo di materiali di ultima generazione.
Contattaci per saperne di più sui trattamenti di conservativa e richiedere una visita per valutare lo stato di salute dei tuoi denti




