Ortodonzia
Cos’è l’ortodonzia e perché è importante
Presso lo Studio del Dott. Paolo Casadei offriamo trattamenti ortodontici personalizzati, studiati in base alle esigenze di ogni paziente. Utilizziamo tecniche moderne e protocolli aggiornati, rivolti sia ai bambini, per guidare la crescita corretta dei denti, sia agli adulti che desiderano migliorare la funzionalità e l’estetica del proprio sorriso.
L’ortodonzia a Cesena è la branca dell’odontoiatria che si occupa di correggere i
disallineamenti dei denti e i problemi di
malocclusione, cioè quando i denti non combaciano bene tra loro. Non riguarda solo l’estetica del sorriso, ma è fondamentale anche per la salute del cavo orale: migliora la
masticazione, la
pronuncia delle parole e aiuta a prevenire disturbi a carico delle articolazioni.
Trattamenti ortodontici per bambini
Nei bambini, l’ortodonzia interviene su malocclusioni e disarmonie scheletriche permettendo di guidare la crescita corretta delle arcate dentarie e ridurre, in futuro, la necessità di trattamenti più lunghi e complessi in età adulta.
Gli apparecchi ortodontici possono essere mobili o fissi, e la scelta dipende sempre dalla situazione clinica del bambino. L’obiettivo è favorire un corretto sviluppo del sorriso, prevenendo complicazioni che potrebbero influire non solo sull’estetica, ma anche sulla masticazione e sulla salute dei denti permanenti.
Ortodonzia per adulti: estetica e funzionalità
Sempre più adulti scelgono di migliorare il proprio sorriso e risolvere problemi funzionali legati alla masticazione o all’allineamento dei denti. In questi casi, oltre all’efficacia, si dà grande importanza anche alla discrezione e al comfort del trattamento.
Oggi, oltre ai tradizionali apparecchi fissi, esistono gli allineatori trasparenti: mascherine sottili, rimovibili e quasi invisibili che spostano i denti gradualmente senza interferire con la vita quotidiana. Sono una soluzione ideale per chi vuole un trattamento efficace, ma non vuole rinunciare all’estetica e alla naturalezza del sorriso.
Perché scegliere l’ortodonzia nello Studio Dentistico del Dr.Casadei
Scegliere i trattamenti di ortodonzia a Cesena presso lo Studio Casadei significa affidarsi a un percorso studiato con attenzione, basato su protocolli accurati e su un approccio che mette sempre al centro il paziente.
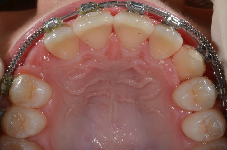
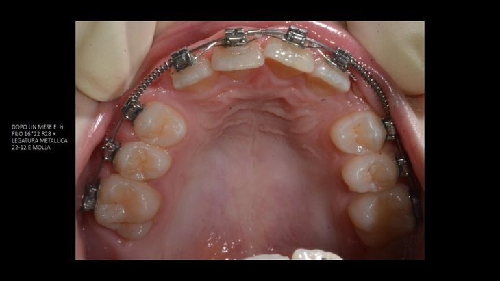
Alcuni casi dello Studio
Contattaci per saperne di più sui trattamenti di ortodonzia, chiama lo Studio Dentistico!

